

Als Facharzt für Unfallchirurgie bin ich auf die Behandlung des gesamten Bewegungsapparates spezialisiert, mit besonderem Schwerpunkt auf der Handchirurgie.
Mein Leistungsspektrum umfasst die Diagnose und Behandlung von Erkrankungen und Verletzungen der Hand und des Handgelenks, darunter Karpaltunnelsyndrom, schnappender Finger, Arthrose, rheumatische Beschwerden sowie Band-, Sehnen- und Knochenverletzungen. Auch die Korrektur fehlverheilter oder nicht verheilter Brüche gehört zu meinem Tätigkeitsbereich.
Notwendige Eingriffe führe ich ambulant und zeitnah in meiner Ordination (z. B. Karpaltunneloperation oder Ringbandspaltung) oder stationär unter persönlicher Betreuung in der Privatklinik Maria Hilf bzw. DOKH Friessach durch.
Die Spezialisierung in der Handchirurgie erfolgt durch eine strukturierte Weiterbildung für Fachärzte mit intensiver operativer Ausbildung über rund 36 Monate, unter anderem in Bereichen wie Sehnenrekonstruktionen, Nervenkompressionen und arthroskopischen Verfahren.

Ihre Hand verdient einen Experten! Beim springenden Finger, bei Knochenbrüchen und anderen Leiden.

Nicht nur bei Ihrer Arbeit, auch im Alltag benötigen Sie Ihre Hände. Daher ist es so wichtig, dass sie schmerzfrei und gut funktionieren!

Leiden Sie unter einschlafenden und schmerzhaft kribbelnden Händen ?
Fallbeispiele
Arthrose des Fingers |
Vorher

Trotz konservativer Therapie besteht eine schmerzhafte Gelenksabnützung mit fixierter Fehlstellung am Mittelgelenk des Kleinfingers bei Zustand Luxation.
Arthrose des Fingers | Nachher

Stabilisierung des Gelenkes in Funktionsstellung mittels Knochenschraube, welche vollständig in den eigenen Körper integriert wird.
Fehlverheilte Speiche |
Vorher

Konservativ behandelter Speichenbruch, Ausheilung in deutlicher Fehlstellung mit entsprechender Bewegungseinschränkung und Beschwerden.
Fehlverheilte Speiche | Nachher

Korrektur der Fehlstellung durch Aufrichtung der Speiche und Interposition eines Beckenkammspans sowie streckseitiger Verplattung.
Rheuma |
Vorher

Durch ein rheumatische Erkrankung hervorgerufene Verschiebung der Handwurzel mit Höhertreten des Ellenkopfes und Riss der Strecksehnen des 4. und 5. Fingers.
Rheuma |
Nachher

Korrektur der Verschiebung durch Versteifung des Mondbeines mit der Speiche, Teilentfernung des Ellenkopfes und Rekonstruktion der 4. und 5. Strecksehne.
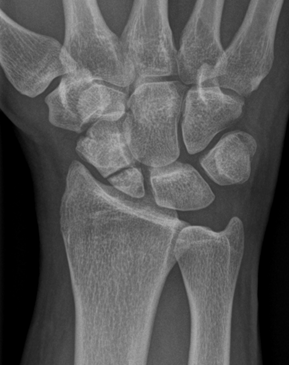
Kahnbeinpseudoarthrose | Vorher

Falschgelenkbildung, sog. Pseudarthrose, bei nicht erkanntem Kahnbeinbruch. Es bestehen deutliche Schmerzen unter Belastung, jedoch liegt noch keine Gelenksabnützung vor.
Kahnbeinpseudoarthrose | Nachher

OP – und Ausheilungsbild nach Anfrischung der Pseudoarthrose, Spongiosaplastik mit Eigenknochen aus dem Beckenkamm, sowie Verschraubung mittels Doppelgewindeschraube. Die Ausbildung einer Gelenksabnützung kann hierdurch verhindert werden.
Bandverletzung |
Vorher

Riss der SL- Bandes zwischen Kahn – und Mondbein mit Ausbildung eines sichtbaren Spaltes in der körpernahen Handwurzelreihe. Schmerzen und drohende Gelenksabnützung des Handgelenkes durch die gestörte Mechanik des komplexen Bewegungsablaufes.
Bandverletzung |
Nachher

Rekonstruktion des SL – Bandes mittels Sehnentransplantat und Fibertape, Fixierung durch Knochenanker und temporäre Versteifung der Handwurzel durch Bohrdrähte um die Einheilung gewährleisten zu können.
Bandverletzung |
Nachher

Ausheilungsbild nach Bohrdrahtentfernung und Ergotherapie. Die Mechanik des Bewegungsablaufes ist wiederhergestellt, eine Gelenksabnützung kann verhindert werden.
Handgelenksarthrose nach altem Kahnbeinbruch | Vorher

Alter, nichtverheilter Kahnbeinbruch mit fortgeschrittener Abnützung des Handgelenkes und starker Schmerzsymptomatik, sowie eingeschränkter Beweglichkeit.
Handgelenksarthrose nach altem Kahnbeinbruch | Nacher

Variante 2 - Entfernung des Kahnbeines und Versteifung des Mondbeines mit dem Kopfbein, bzw. dem Haken – und Dreiecksbein. Sogenannte „Four Corner Fusion“
Speichenbruch |
Vorher

Trümmerbruch der Speiche, mit Verkürzung und Gelenksbeteiligung
Speichenbruch |
Nachher

Verplattung der Speiche mit Wiederherstellung der Länge und Rekonstruktion der Gelenksfläche.
Sattelgelenksendoprothese | Vorher

Es besteht eine schmerzhafte Abnützung im Daumensattelgelenk, eine sog. Rhizarthrose. Tätigkeiten des alltäglichen Lebens, wie z.B. eine Flasche aufdrehen oder das Schneiden mit einer Schere können aufgrund der Schmerzen nur mehr erschwert durchgeführt werden.
Sattelgelenksendoprothese | Nachher

Variante 1 - Entfernung des großen Vieleckbeins mit Sehnenaufhängeplastik. 3 wöchige Ruhigstellung postoperativ, danach wird eine Ergotherapie durch geführt. Bis zum Erlangen der vollen Kraft können 3 – 6 Monate vergehen.
Sattelgelenksendoprothese | Nachher

Variante 2 - Ersatz des Sattelgelenkes durch ein Kunstgelenk, eine Sattelgelenksendoprothese. 2 Wochen Ruhigstellung, nach 6 Wochen ist die Vollbelastung erlaubt.
Karpaltunnelsyndrom (Carpal-Tunnel-Syndrom)

Das Karpaltunnelsyndrom (Carpal-Tunnel-Syndrom oder CTS) ist eine Einengung des Handmittelnervs (Nervus medianus) im Bereich der Handwurzel beugeseitig des Handgelenks. An dieser Stelle verläuft der Nervus medianus zusammen mit neun Beugesehnen durch einen Tunnel (Carpal-Tunnel), welcher von den Handwurzelknochen und einem ca. 2 bis 4 cm breiten Band (Retinaculum flexorum) begrenzt wird. Der Nervus medianus versorgt sowohl den Daumen als auch den Zeige-, Mittel- und die dem Mittelfinger zugewandte Hälfte des Ringfingers mit Gefühl.
Vorher: Es bestehen elektrisierende Schmerzen, sowie ein Taubheitsgefühl vom Daumen bis zum Ringfinger? Beim Autofahren oder während des Lesens schläft die Hand ein? Sie wachen in der Nacht aufgrund von Schmerzen in der Hand auf und müssen sie schütteln damit die Beschwerden sich bessern?
Es besteht der hochgradige Verdacht, dass sie an einem Karpaltunnelsyndrom (CTS) leiden. Die Diagnose kann durch eine Nervenleitgeschindigkeitsuntersuchung bestätigt werden. Es kommt hierbei zu einer Einengung des Karpalkanals durch eine Schwellung des Sehnengleitgewebes und dadurch zu einer Erhöhung des Druckes auf den Mittelnerv, den Nervus medianus.
Sollte eine konservative Therapie mit einer Nachlagerungsschiene und der Einnahme von Medikamenten nicht helfen, kann eine Operation notwendig werden. Diese wird nach einer Erstvorstellung mit ausführlicher Aufklärung in der Regel innerhalb von 2 Wochen terminisiert und ambulant in meiner Ordination durchgeführt.
Da der Eingriff in Lokalanästhesie nach der WALANT – Methode durchgeführt wird, ist keine präoperative Untersuchung durch einen Internisten oder Narkosearzt notwendig. Es muss auch keine blutverdünnende Medikation abgesetzt werden und auf eine schmerzende Oberarmblutsperre während der Operation kann verzichtet werden.
Nachher: Nach der Operation benötigen sie keine Schiene, ein Verband reicht aus. Die Verbandswechsel werden durch den Hausarzt durchgeführt, die Nahtentfernung erfolgt in meiner Ordination im Rahmen der Abschlusskontrolle.
Die betroffene Hand muss 3 Wochen geschont werden. Bewegung ist erlaubt, es sollten jedoch keine Kraftgriffe während dieser Zeit durchgeführt werden.
Ebenso wichtig wie die Schonung ist eine konsequente Narbenpflege nach der Nahtentfernung, da sich die Narbe vor allem während des 1. halben Jahres kontrahieren kann.
Operationen
Sollte eine Operation notwendig werden, wird diese von mir zeitnah und ambulant in der Ordination
oder zeitnah ambulant/stationär an der Privatklink Maria Hilf bzw. am DOKH Friesach unter persönlicher Betreuung durchgeführt.
Nur zum Weiterempfehlen! Sehr sympathischer Arzt. Man fühlt sich gut beraten, er nimmt sich ausführlich Zeit und man bekommt schnell einen Termin.
... sollte ich wieder einmal beschwerden mit meinen händen haben wäre dieser arzt meine erste wahl ... sehr freundlich schon beim empfang ... sehr kompetent bei der operation ... alles ist wieder gut und der mensch ist zufrieden ... so soll es sein ...
Ein äußerst kompetenter und sympathischer Arzt. Ich fühlte mich bei Dr. Tomantschger in sehr guten Händen und immer gut von ihm beraten. Top Chirurg!